Dutina ústní je – aspoň co se mikrobiální kolonizace týká – nejnechutnější část lidského těla. Koktejl stovek druhů bakterií, kvasinek a virů o teplotě 36,5°C. Všechny patogenní i neškodní mikrobi se množí, pojídají zbytky potravy, vylučují kyseliny, zuby se kazí a dásně se krvácejí, bolí a otékají vlivem zánětu. Jakékoliv otevřená rány v ústech pak představuje bránu pro vstup infekce. Navzdory neskutečně propracovanému imunitnímu systému člověka si tělo ale s bakteriemi neporadí. A nejčastějším zdrojem infekce přinášejícím závažné problémy jsou následky zubního kazu.
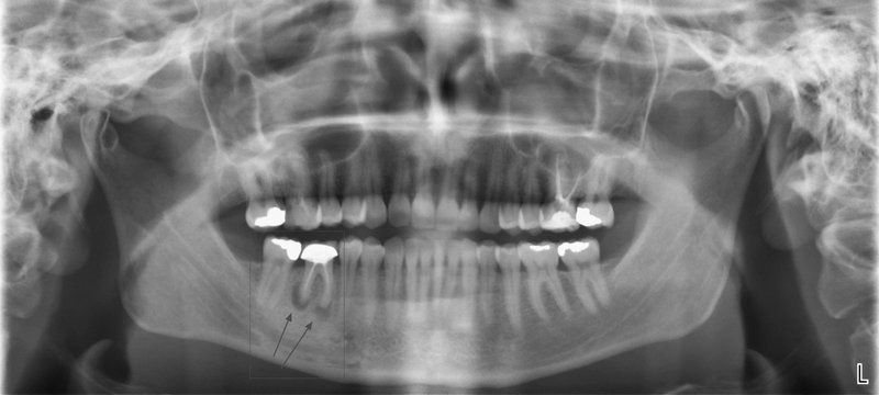
Obr. 1 Pětka a šestka vlevo dole. Oba zuby jsou mrtvé a „otevřené“.
Bakterie tak mohou volně proudit z úst do kosti. Obvyklý vývoj neošetřeného nebo nedokonale ošetřeného kazu je prostup bakterií do prostoru dřeňové dutiny. Počáteční dlouhodobá citlivost na chlad a sladké se změní v pulzující špatně ztišitelnou bolest, která budí pacienta ze spaní. Už v této chvíli je vlastně pozdě a zubní lékař by měl ošetřit kořenové kanálky a zamezit bakteriím v šíření hlouběji do zubu. Nestane-li se tak, šíří se infekce kořenovými kanálky dál hlouběji směrem do čelistní kosti. V tuto chvíli se dostaví výrazná bolest na skus. A jsme opět na křižovatce. Tělo buď zánět převede do chronicity a vytvoří se obávaný váček prostupující všechny internetové diskuze pod zubařskými články, nebo infekce pokračuje akutně dál. Člověka sužují kruté bolesti z rozvíjejícího se abscesu, což není nic jiného, než jezero hnisu. Absces se může provalit do úst, což je sice krajně nechutné, ale přinese to aspoň částečnou úlevu. Pokud se ale hnisavý zánět šíří štěrbinovitými anatomickými komunikacemi dál, nastává problém. Infekce může v závislosti na příčinném zubu směřovat do oka, do mozku, do plic nebo srdce. Vůbec nejhorší jsou extrémně rychle probíhající infekce, kdy se hnis ani nestihne vytvořit a člověk navzdory antibiotikům a intenzivní péči umírá na selhání orgánů při sepsi nebo i udušení z otoku dýchacích cest. Léčba takovýchto stavů je i dnes velmi obtížná a často vyžaduje rozsáhlé chirurgické zákroky.

Obr. 2 Nápadné „váčky“ u kořenů pravé dolní šestky, tedy chronický bakteriální zánět v kosti.
Myslíte si asi, že takovéto stavy nejsou příliš časté. Divili byste se. Každý den dorazí k praktickému zubnímu lékaři nebo rovnou do velké nemocnice takových lidí řada. Občas už neodejdou. Máte-li tedy v ústech nějaký mrtvý ulámaný zkažený zub, pryč s ním! Půlhodina nepříjemné extrakce za vyhnutí se život ohrožujícímu kolemčelistnímu zánětu za to stojí.
MDDr. Adam Šíma
